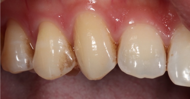
لکه های قهوه ای دندان، علت و درمان

گاهی افراد با مشاهده لکه قهوه ای روی دندان احساس نگرانی کرده و سریعا به دندانپزشکی مراجه میکنند، این لکه های قهوه ای دندان نشانگر مصرف نوشیدنی هایی مانند قهوه، چای و نوشابه گازدار است. استعمال دخانیات نیز لکه های قهوه ای روی دندان ایجاد می کند، سطح دندان به رنگ قهوه ای می تواند نشانگر این باشد که دندان ها هنگام رشد در معرض فلوراید بیش از حد قرار گرفته یا این که نشانگر نوعی بیماری ارثی و حساسیت غذایی است که التهاب روده ای، اسهال، سوء تغذیه و کاهش وزن ایجاد می کند.
مقدار بیشتر از حد مجاز فلوراید در آب نیز باعث ایجاد لکه های قهوه ای روی دندان ها می شود. وجود فلوراید در آب آشامیدنی برای دندان ها مفید بوده و از پوسیدگی دندان جلوگیری می کند، اما مقدار آن در آب باید توسط کارگزاران شرکت آب و مسئولان بهداشت اندازه گیری شود. مقدار مجاز استفاده از فلوراید در داخل آب ۱ppm است که اگر بیشتر از حد مجاز باشد، موجب تغییرات قهوه ای بدرنگ در روی دندان ها می شود که به صورت خال های قهوه ای روی دندان مشاهده می شود. اگر نخواهید که با استفاده از خدمات سفید کردن دندان که در کلینیک ها ارائه میشود این مشکل را برطرف کنید میتوانید با استفاده از درمان های خانگی زیر تا حدودی به کمرنگ شدن این لکه ها بپردازید.
درمان گیاهی و طبیعی لکه های قهوه ای دندان
جوش شیرین
مواد لازم:
جوش شیرین ۱ قاشق چای خوری
هیدروژن پراکسید ۲ قاشق چای خوری
مواد را باهم مخلوط و خمیر حاصل را با مسواک بر روی دندان بمالید، تنها دو دقیقه بر روی دندان ها باقی بماند.
لیمو و جوش شیرین
چند قطره از آب لیمو را با جوش شیرین مخلوط کنید و به دندان بمالید.
پوست پرتقال
مالیدن پوست داخلی پرتقال بر روی دندان نیز یک درمان طبیعی است که می تواند دندان ها را بدون هیچ گونه عوارض جانبی سفید نماید، اما تأثیر آن قوی نیست.