تقویت دندانها با فلورایدتراپی و فیشورسیلانت

فیشورسیلانت
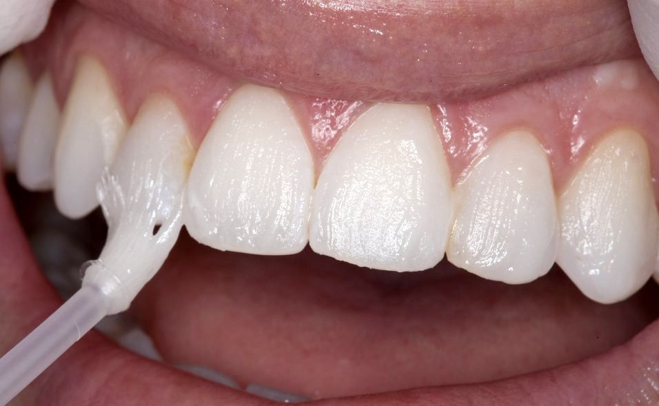
استفاده از فیشورسیلانت محدود به شیارهای عمیقی است که در سطح جوندهی دندانهای خلفی بوده و چون این شیارها با مسواک تمیز نمیشوند مستعد پوسیدگی هستند، اما هنوز پوسیده نشدهاند. برای این کار، شیارهای مذکور با مواد همرنگ دندان مسدود میشوندکه این عمل فیشورسیلانت نام دارد. مزیت فیشورسیلانت آن است که روش راحت و بدون دردی است و در صورتی که بهطور صحیح بهکار برده شود، تا چند سال میتواند سطح جوندهی دندان را در برابر پوسیدگی محافظت نماید. زمان استفاده از فیشورسیلانت، بیشتر در سن ۶ سالگی است که اولین دندانهای دائمی رویش مییابد. دندانهای شیری فیشورسیلانت نمیشوند؛ اما ۴ دندان آسیای بزرگ اول دائمی بسیار مهم و مستعد پوسیدگی هستند و برای فیشورسیلانت این دندانها باید به کلینیک دندانپزشکی مراجعه نمود. قابل ذکر است که فیشورسیلانت لزوم انجام فلورایدتراپی را از میان نمیبرد.
فلوراید
احتیاج روزانه به فلوراید ۵/۰ تا ۵/۱ میکروگرم است. در صورت استفادهی بیشتر از این مقدار، کمی از آن در دندان و استخوان ذخیره شده و بقیه دفع میشود.
منبع اصلی فلوراید در دسترس بشر، آبهای آشامیدنی، غذاها، چای، هویچ، اسفناج، گردو، ماهی و داروهای شیمیایی مثل خمیردندان، قرص و دهانشویهی فلوراید میباشد.
نوشیدن آب آشامیدنی دارای PPM۱ فلوراید حدود ۵۰ تا ۷۰درصد و مصرف خمیر دندانهای فلورایده تا ۳۰ درصد در کاهش پوسیدگی مؤثر است. نوشیدن ۱۰ فنجان چای در روز معادل نوشیدن ۱ لیتر آب دارای PPM۱ فلوراید است.
فلوراید با کاهش قابلیت حلالیت مینا، حل شدن پروتئینهای باکتریها، کاهش میکروبهای پوسیدگیزای دهان و جلوگیری از فعالیت آنزیمهای باکتریها، اثر ضد پوسیدگی خود را اعمال میکند. ضمناً در دندانهای حاوی فلوراید بالا، شیارهای عمیق، کمعمق میشوند.
۱. مسمومیت با فلوراید و درمان آن: در اثر استفادهی بیش از حد مجاز فلوراید، مسمومیت پیش خواهد آمد که علایم آن عبارتند از: سرگیجه، بیحالی، تهوع، استفراغ، اسهال، دردهای شکمی و ترشح زیاد بزاق. در صورت مواجه شدن با فرد مسموم، ابتدا به او شیر خورانده و او را تحت نظر میگیریم. در صورتی که علایم مسمومیت شدیدتر ظاهر شد، وی را وادار به استفراغ نموده، به او شیر خورانده و به نزدیکترین مرکز پزشکی ارجاع میدهیم.
۲. راههای استفاده از فلوراید:
• مصرف خوراکی فلوراید: آب آشامیدنی فلورایده، نمک و شکر فلورایده، قطره و قرص فلوراید.
• مصرف موضعی فلوراید: مایع سدیم فلوراید و فلوراید قلع، مایع یا ژل APF، خمیر دندان فلورایده، دهانشویهی فلورایده، نخ دندان فلورایده، آدامس فلورایده و مواد دندانپزشکی فلورایده.
لازم به ذکر است که استفاده از فلوراید بهصورت قطره، قرص و ژل باید حتماً تحت نظر دندانپزشک باشد.
اثر فلوراید آب آشامیدنی روی سلامت دندانها موضعی است و بیش از ۷۰ سال است که مورد تحقیق میباشد. اخیراً به این نتیجه رسیدهاند که فلوراید شدت بیماریهای لثه را هم کاهش میدهد.
در مناطق گرم میزان فلوراید آب را پایین میآورند چرا که با مصرف بیشتر آب آشامیدنی به علت عرق کردن ناشی از گرمی هوا، کمبود فلوراید جبران میشود.
۳. فلورایده کردن آب مدرسه: به میزان ۵/۴ برابر مقدار فلوراید آب آشامیدنی منطقه، به آب مدرسه فلوراید اضافه میگردد.
بهطور کلی در مناطقی که غلظت فلوراید کمتر از PPM۳/۰ باشد، میتوان فلوراید اضافی تجویز نمود و اگر این مزان PPM۷/۰ باشد، تجویز فلوراید اضافی لازم نیست.
فلورایده کردن نمک در آمریکای جنوبی و سوئیس، بهطور وسیع مورد آزمایش واقع شده است. برای فلورایده کردن نمک، به هر کیلوگرم نمک، حدود ۲۰۰ میلیگرم سدیم فلوراید اضافه میشود. فلورایده کردن شیر نیز حائز اهمیت است.اما بهدلیل آن که توزیع شیر محدود است فلورایده کردن شیر با اعتراضات مواجه شده است.
اثر مصرف فلوراید قبل از تولد، توسط مادر همچنان در عرصهی تحقیقات شناور بوده و تا کنون هیچ مدرکی دال بر متوقف شدن پوسیدگی با کاربرد فلوراید قبل از تولد وجود ندارد.
۴. دهانشویه و ژل فلوراید: دهانشویههای فلوراید موجود در بازار با غلظت کم و تعداد دفعات مصرف زیاد و با غلظت زیاد و دفعات مصرف کم مورد استفاده واقع میشوند. غلظت دهانشویههای فلوراید از ۰۵/۰ تا ۲/۰ درصد متفاوت است که نوع ۰۵/۰ درصدی را روزانه و نوع ۲/۰ درصدی را هفتهای یک بار استفاده میکنیم.
پرستاران دندانپزشکی باید در نظر داشته باشند که ژل APF متداولترین مادهای است که توسط دندانپزشک بهکار میرود و مصرف این ژل بهمنظور پیشگیری از پوسیدگی، هر ۶ ماه یک بار برای کودکان ۱۵ـ۳ سال توصیه میشود. قابل ذکر است که میزان فلوراید مینای دندان، PPM۵۰۰ است اما فلوراید بیش از حد باعث ایجاد لکههای سفید یا قهوهای روی مینای دندان میشود و در اصطلاح دندانپزشکی ایجاد فلوروزیس میکند.